
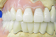
上下顎の多数歯欠損、顎関節症など、咬合を再構築する必要があるケースに対応しています。前装材はフレーム製作金属により、ポーセレン、ハイブリットセラミックを選択出来ます。
上下顎
リーゲルテレスコープ
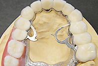
上下MB
リーゲルテレスコープ
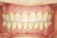
上下顎プッシュ式
リーゲルテレスコープ
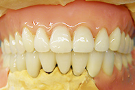
上顎リーゲル
下顎CSPリーゲルテレスコープ
上下顎
リーゲルテレスコープ
上顎レジリエンツ
下顎リーゲルテレスコープ
上顎内冠1次固定下顎2ピース
リーゲルテレスコープ
上下MB
CSP+フリクションピン
テレスコープ
上下顎リーゲルアンカー
バンドテレスコープ
上顎リーゲル
下顎フリクションピンコーヌス
上下内冠3ピース
上顎リーゲル
下顎コーヌスフリクションピン
テレスコープ
上顎コーピングタイプ
レジリエンツ内冠下顎CSP
リーゲルテレスコープ
上下顎残存歯1次固定
下顎舌側エプロン
リーゲルテレスコープ
上顎コーヌス
下顎フリクションピン+
アンカーバンドテレスコープ
上下顎
リーゲルテレスコープ
上顎CSPリーゲル
下顎フリクションピンコーヌス
上下
リーゲルテレスコープ
上顎リーゲルテレスコープ
下顎フリクションピン
テレスコープ