臨床事例紹介

リーゲルテレスコープ

旋回レバーのカンヌキ効果による内冠・外冠を強固に2次固定します。あらゆる欠損に対応でき長期にわたり使用可能です。各種金属で製作可能です。

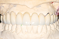
  • 上顎全支台歯1次固定リーゲルテレスコープ

    上顎全支台歯1次固定
    リーゲルテレスコープ

    製品Gallery
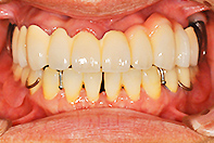
  • 上顎全支台歯1次固定 リーゲルテレスコープ

    上顎全支台歯1次固定
    リーゲルテレスコープ

    製品Gallery
  • 上顎両側リーゲルテレスコープ(1歯残根使用)

    上顎両側リーゲルテレスコープ
    (1歯残根使用)

    製品Gallery
  • 下顎リーゲル(残存歯の有効活用)

    下顎リーゲル
    (残存歯の有効活用)

    製品Gallery
  • 上顎単独支台冠+トーションバーリーゲルテレスコープ

    上顎単独支台冠+
    トーションバー
    リーゲルテレスコープ

    製品Gallery
  • 上顎単独支台冠2次固定 リーゲルテレスコープ

    上顎単独支台冠2次固定
    リーゲルテレスコープ

    製品Gallery
  • 上顎単独支台冠MBリーゲルテレスコープ

    上顎単独支台冠MB
    リーゲルテレスコープ

    製品Gallery
  • 上顎中間遊離端欠損MB リーゲルテレスコープ

    上顎中間遊離端欠損MB
    リーゲルテレスコープ

    製品Gallery
  • 遊離端リーゲルテレスコープ

    遊離端
    リーゲルテレスコープ

    製品Gallery
  • 上顎チタン リーゲルテレスコープ (内冠1次固定)

    上顎チタン
    リーゲルテレスコープ
    (内冠1次固定)

    製品Gallery
  • 内冠3ユニット リーゲルテレスコープ

    内冠3ユニット
    リーゲルテレスコープ

    製品Gallery
  • 上下 リーゲルテレスコープ

    上顎リーゲルテレスコープ

    製品Gallery

> 臨床事例カテゴリページに戻る