臨床事例紹介

インプラント リーゲル

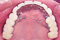
MIPSシステムを使用し、ほとんどのインプラントメーカーに対応できます。可撤式リーゲルは、口腔内の清掃が容易で確実にできる為、不快な口腔臭がありません。予後の状態もよく、長期にわたり使用できる上部構造です。

  • 上顎こんなこともできます!

    上顎こんなこともできます!

    製品Gallery
  • 上下顎インプラント サブスーパーストラクチャー リーゲルテレスコープ

    上下顎インプラント
    サブスーパーストラクチャー
    リーゲルテレスコープ

    製品Gallery
  • 顎堤吸収対応インプラントリーゲル

    顎堤吸収対応
    インプラントリーゲル

    製品Gallery
  • 上下MB リーゲルテレスコープ

    上下インプラントリーゲル
    テレスコープ
    (Nober,ANKYLOS)

    製品Gallery
  • 上顎天然歯+中間欠損部 インプラントリーゲルテレスコープ

    上顎天然歯+中間欠損部
    インプラントリーゲル
    テレスコープ

    製品Gallery
  • 上顎コーヌス 下顎フルブリッジ

    上顎コーヌス
    下顎フルブリッジ

    製品Gallery
  • 上顎天然歯+片側インプラントリーゲルテレスコープ

    上顎天然歯+片側
    インプラントリーゲル
    テレスコープ

    製品Gallery
  • 上顎天然歯+両側インプラント リーゲルテレスコープ

    上顎天然歯+両側インプラント
    リーゲルテレスコープ

    製品Gallery
  • 上顎リーゲル+ インプラントテレスコープ

    上顎リーゲル+
    インプラントテレスコープ

    製品Gallery
  • ソリットインプラント+天然歯リーゲルテレスコープ

    ソリットインプラント+
    天然歯リーゲルテレスコープ

    製品Gallery

> 臨床事例カテゴリページに戻る